こんにちは。獣医師の堀内です。
この度は獣医画像診断認定医の資格を無事取得することができました。この資格は日本獣医画像診断学会が定める認定講習を受講し、筆記試験、実技試験に合格した者に与えられる資格であります。
今後は腫瘍認定医、画像認定医の資格を生かして、より良い獣医療を提供できるよう努力していきたいと思っております。
さてさっそくですが皆さんCT検査はどのような検査かご存じでしょうか。
CT検査とはComputed Tomography(コンピュータ断層撮影)の略で、X線を利用し動物の断面像を描出する方法であります。
全身麻酔が必要ですが、比較的短時間で撮影することができ、超音波検査やレントゲン検査で分からないような病変を検出することが可能であります。
具体的には腫瘍の形状・大きさ、転移の有無、結石の有無、異物の有無など様々な病態に使用され、現在の獣医療に欠かせない診断ツールの一つになっております。また手術経過を立てる際に3D画像も撮影することができ、より安全に手術を行うことが可能となります。
しかし、CT検査を撮影できる動物病院は多いわけではなく、北海道でも数えるほどしかありません。当院では年間約100件CT検査を実施しており、他院からの紹介も承っております。
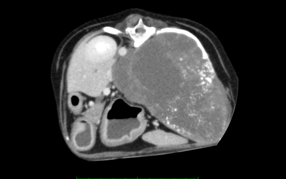
下記の画像は当院で撮影した肋骨腫瘍の症例のCT画像です。超音波検査では腫瘤が巨大すぎて発生源の特定が困難でしたが、CT検査を実施し肋骨の発生源の特定、大きさ、他の臓器の浸潤度合いなど判断することができました。


この子は肋骨3本ごと切除する手術にも耐えてくれて手術も無事成功し今は元気に過ごしております。
※以下のURLは手術中の写真を掲載しております(血液や組織が写っております)。内容に不安を感じる方、視覚的に刺激の強い画像が苦手な方は閲覧をお控えください。
https://noah-animal-hospital.jp/wp_noah/wp-content/uploads/2026/03/IMG_1687-1-scaled.jpg
当院でCT検査をご希望の飼い主様方、動物病院の先生方お気軽にご相談ください。





